Your First Dentures in Taylorsville: What to Expect from Start to Finish
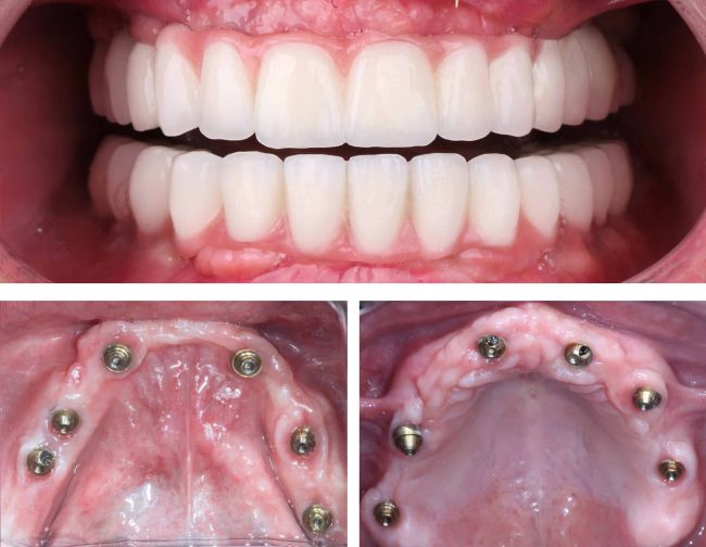
Getting your first set of dentures can be overwhelming, especially when you’re unsure what the process entails or how long it will take. If you’re exploring dentures in Taylorsville, understanding each step can help alleviate your concerns and prepare you for what’s ahead. At Horizon Dental, Dr. Joshua Frandsen and his team guide patients through…








